Screw Retained Zirconia

Warranty Covers:

 • 5 Year Warranty For Crown

• Lifetime Warranty On All Parts

INCLUDES:

Screw Retained Zirconia  

 • Soft Tissue Model  

 • Your choice of Solid Zirconia  

 • Design & Labor • Screw & Parts  

 • FDA Approved Materials

Simply the best quality, value, and warranty you will find.

 Now Available in HIGH TRANSLUCENCY, Multi-layered ZIRCONIA

• 49% Translucency and 720 MPa of flexural strength

• 15-20% more translucent than traditional zirconia

• 2x as strong as lithium disilicate

UTML Ultra Translucent Multi-Layered

STML Super Translucent Multi-Layered

ML Multi-Layered

A Smart Choice for Combining Esthetics and Durability.

KATANA™ Zirconia ML

Achieving the Strongest and Aesthetic Restoration


With KATANA Zirconia ML light reflects its natural opacity. A veneering ceramic on top makes the most natural result. This zirconia also comes with natural color gradient.

KATANA™ Zirconia STML

Well-balanced Translucency

and Strength


With KATANA Zirconia STML, you have the flexibility to make beautiful full contour prosthetics, regardless of the abutment color. It’s a pioneer of zirconia with a color/natural translucency and color gradient. Use KATANA Zirconia STML for your next full contour prosthetics.

KATANA™ Zirconia UTML

Enamel-like

translucency


KATANA Zirconia UTML is so translucent that light reaches the original tooth color, bringing you the natural result you need. This zirconia has one of the highest translucency levels on the market, as well as a natural color gradient.

30 - 75 % Stronger than e.max

Recommended Applications

Zirconia UTML/STML is designed to achieve superior results with both gradational chroma and translucency for esthetic restorations.

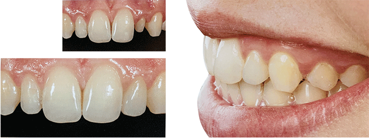
HIGH ESTHETIC WITH KATANA ZIRCONIA

NATURAL COLOR GRADIENT WITHIN MULTI LAYERED DISCS UTML/STML/ML

Multilayered zirconia is the reference when it comes to gradual coloring. It makes your restorations look natural and make them unnoticed.


Comparable Translucency to e.max1 

  • High aesthetic enamel- like translucency.
  • Zirconia strength with e.max-like aesthetics.
  • Perfect for natural veneers and other anterior cases.

Minimum Wall Thickness of Zirconia

Contraindications

SAFETY DATA SHEET

Choose Z-Crown Anterior From Bayshore

A Better Lab Experience

www.bayshoredentalstudio.com